เด็กบราซิลวัย 11 ปี มาถอนฟันน้ำนม ทันตแพทย์อึ้ง ภาพเอกซเรย์พบ มีฟันถึง 81 ซี่ในปาก ชี้ฟันส่วนเกินฝังลึกอยู่ในเหงือก
สำนักข่าวต่างประเทศ รายงาน กรณีทางการแพทย์เกิดขึ้นที่บราซิล เด็กหญิงวัย 11 ปีในมาพบทันตแพทย์เพื่อถอนรากฟันน้ำนมเท่านั้น แต่ผลการเอกซเรย์กลับพบว่าในปากของเธอมีฟันรวมทั้งหมด 81 ซี่ ซึ่งรวมถึงฟันส่วนเกิน 31 ซี่ ต่อมากรณีหายากนี้ได้รับการตีพิมพ์ในวารสารทางการแพทย์และกลายเป็นประเด็นร้อน
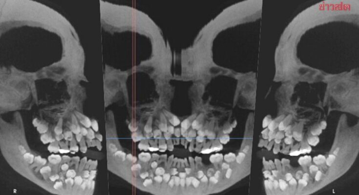
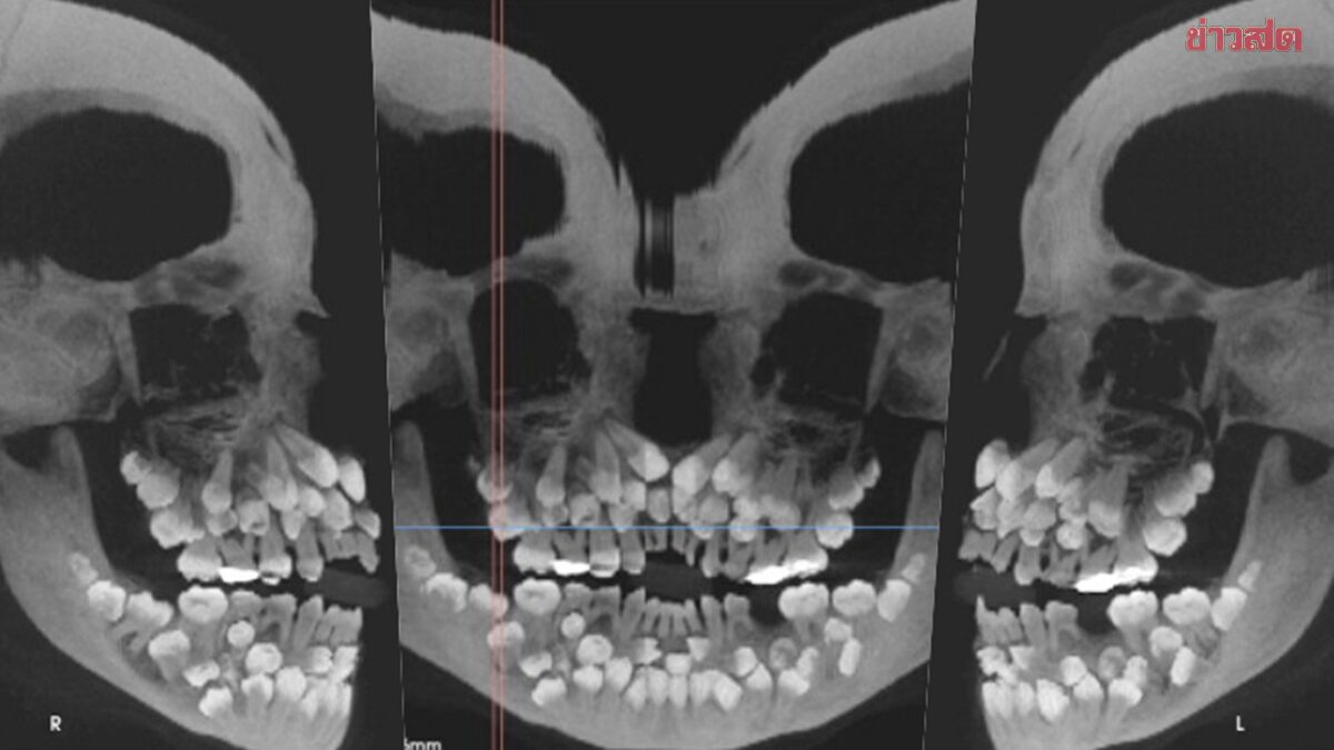
เด็กหญิงคนหนึ่งอายุ 11 ปี 8 เดือนในเมืองมีนัสเชไรส์ ประเทศบราซิล ได้เข้ารับการตรวจสุขภาพช่องปากที่คลินิกทันตกรรม เนื่องจากเธอวางแผนที่จะถอนฟันน้ำนมแถวบนที่ยังไม่หลุด อย่างไรก็ตาม ภาพเอกซเรย์เผยให้เห็นการค้นพบที่น่าตกใจ นั่นคือ จริง ๆ แล้วเธอมีฟันน้ำนม 18 ซี่ ฟันแท้ 32 ซี่ และฟันเกินอีก 31 ซี่ในช่องปาก รวมเป็นฟันทั้งหมด 81 ซี่

จากการตรวจในช่องปาก แพทย์บันทึกไว้ว่ามีเพียงฟันแท้ 5 ซี่ที่งอกออกมาแล้ว ในขณะที่ฟันน้ำนมยังคงมีอยู่จำนวนมาก เพื่อประเมินสภาพฟันและช่องปากของผู้ป่วยเด็กให้ครบถ้วนมากขึ้น แพทย์จึงสั่งให้ถ่ายภาพเอกซเรย์แบบภาพรวมและภาพกะโหลกศีรษะด้านข้าง
อีกทั้งภาพเหล่านี้ยังแสดงให้เห็นว่าฟันหลายซี่มีรูปร่างผิดปกติ ฝังลึกอยู่ในเหงือก ทำให้การแยกแยะระหว่างฟันปกติและฟันส่วนเกินเป็นเรื่องที่ยากลำบากอย่างมาก ซึ่งผู้ใหญ่ทั่วไปควรมีฟัน 32 ซี่ และฟันที่เกินมานี้เรียกว่า “ฟันเกิน” โดยทั่วไปจะมีฟันเกินเพียง 1 – 2 ซี่เท่านั้น
ตามที่แพทย์อธิบาย ฟันส่วนเกิน (supernumerary teeth) เป็นความผิดปกติในการพัฒนาที่หายาก ซึ่งสามารถปรากฏในตำแหน่งใดก็ได้บนโค้งฟันและส่งผลกระทบต่อฟันปกติอื่น ๆ กรณีที่มีฟันส่วนเกินหลายซี่ หรือที่เรียกว่าภาวะฟันส่วนเกินหลายซี่ เป็นเรื่องที่พบได้ยากมากในผู้ที่ไม่ได้เป็นโรคหรือมีกลุมอาการทางพันธุกรรมอื่น ๆ ร่วมด้วย

ปากแหว่งเพดานโหว่
กลุ่มอาการไตรโครไรโนฟาแลนเจียล (trichorhinophalangeal syndrome)
ภาวะกระดูกไหปลาร้าและกะโหลกศีรษะพัฒนาผิดปกติ (cleidocranial dysplasia)
กลุ่มอาการการ์ดเนอร์ (Gardner syndrome)
ทีมวิจัยจากโรงพยาบาลทันตกรรมแห่งมหาวิทยาลัยสหพันธ์ฮุยส์เดฟอรา ประเทศบราซิล ตีพิมพ์กรณีศึกษาที่หาได้ยากนี้ในวารสารของสถาบันศัลยกรรมช่องปากและขากรรไกรแห่งอเมริกา (American Academy of Orthodontics and Oral and Maxillofacial Surgery)
นักวิจัยใช้การถ่ายภาพที่แม่นยำเพื่อระบุตำแหน่งของฟัน และทำการทดสอบทางพันธุกรรมเพื่อศึกษาว่ามีปัจจัยทางพันธุกรรมที่เกี่ยวข้องกับโรคหรือไม่ การตรวจโครโมโซมพบว่าเด็กหญิงชาวบราซิลมีการกลายพันธุ์ทางพันธุกรรมที่หายาก แต่ความสัมพันธ์เชิงสาเหตุโดยตรงกับฟันเกินยังคงต้องมีการชี้แจงเพิ่มเติม
เนื่องจากฟันเกินบางซี่ฝังลึกอยู่ในเหงือกหรือแยกแยะจากฟันปกติได้ยาก การถอนฟันออกแบบสุ่มอาจทำให้กระดูกขากรรไกรเสียหายได้ ด้วยเหตุนี้ ทีมวิจัยจึงได้เชิญผู้เชี่ยวชาญด้านทันตกรรมจัดฟัน ศัลยกรรมช่องปาก ปริทันต์วิทยา และทันตกรรมประดิษฐ์ มาร่วมหารือและพัฒนาแผนการรักษาระยะยาว โดยหวังว่าจะสามารถปกป้องสุขภาพฟันและรักษาสุขภาพฟันของเธอให้อยู่ในสภาพที่ดีต่อไปในอนาคต.
