อัปเดต ราคาทองคำ วันนี้ 21 ก.ค. 68 คงที่ไม่เปลี่ยนแปลง เช็กราคาทอง ล่าสุด เช็กราคาทองรูปพรรณ ราคาทอง 1 สลึงวันนี้ อยู่ที่เท่าไหร่

ราคาทองคําวันนี้ประจำวันเสาร์ที่ 19 กรกฎาคม 2568 ประกาศครั้งเดียว เมื่อเวลา 09.02 น. ปรับตัวเพิ่มขึ้นเล็กน้อย 50 บาท เมื่อเทียบกับประกาศราคาซื้อขายครั้งสุดท้ายของเมื่อวาน(ศุกร์) ที่ระหว่างวันมีการประกาศราคาทองทั้งหมด 5 ครั้ง รวมราคาปรับตัวเพิ่มขึ้น 100 บาท สู่บริเวณ 51,350 บาท ราคาทองวันนี้ ประจำวันจันทร์ที่ 20 ก.ค. 68 สมาคมค้าทองคำ ประกาศ ราคาซื้อ – ขาย …

อัปเดต ราคาทองคำ วันนี้ 21 ก.ค. 68 คงที่ไม่เปลี่ยนแปลง เช็กราคาทอง ล่าสุด เช็กราคาทองรูปพรรณ ราคาทอง 1 สลึงวันนี้ อยู่ที่เท่าไหร่ Read More

ลูกชาย 11 ขวบ กลัวโดนลงโทษ ชิงโทรเรียกตำรวจมา “จับพ่อ” ฟ้องหมดมีอะไรอยู่ในบ้าน!

เด็กหนอ… ลูกชายวัย 11 ขวบ โดนพ่อขู่จัดการ เพราะขี้เกียจเรียน ชิงโทรเรียกตำรวจมา “จัดการพ่อ” ก่อน ฟ้องหมดมีอะไรอยู่ในบ้าน! เด็กชายวัย 11 ปี กำลังศึกษาอยู่ชั้นประถมศึกษาปีที่ 4 ที่โรงเรียนประถมศึกษามณฑลกุ้ยโจว ประเทศจีน เบื่อไม่อยากไปโรงเรียน ขี้เกียจอ่านหนังสือและทำการบ้าน จึงทะเลาะกับแม่อย่างรุนแรง ในตอนนั้นผู้เป็นพ่อเดินทางไปทำที่เจ้อเจียง แต่เมื่อรู้ว่าลูกชายแสดงอาการหัวแข็งใส่ภรรยา เขาก็ตัดสินใจโทรสายตรงมาหา ในตอนแรกลองพูดคุยทำความเข้าใจก่อน แต่เมื่อไม่ได้ผล เขาก็ดุเขาด้วยความโกรธ และตัดสินใจเดินทางกลับบ้านทันที เพื่อ “ให้บทเรียนแก่ลูกชาย” หลังจากที่ลูกชายวางสายโทรศัพท์ของพ่อ …

ลูกชาย 11 ขวบ กลัวโดนลงโทษ ชิงโทรเรียกตำรวจมา “จับพ่อ” ฟ้องหมดมีอะไรอยู่ในบ้าน! Read More

บีบหัวใจ ด.ช.เล่านาทีสุดท้าย “พ่อใส่ชูชีพให้” ก่อนจมหายตามแม่-น้อง โศกนาฏกรรมเรือล่ม

เหตุเรือล่มในอ่าวฮาลอง เด็กชาย 10 ปีรอดชีวิตปาฏิหาริย์ หลังติดในห้องโถงเรือล่มนาน 4 ชม. คืนวันที่ 19 กรกฎาคม 2025 เรือท่องเที่ยว “QN‑7105” (หรือที่รู้จักในชื่อ Wonder Sea) แล่นออกจากจุดชมวิว ตรงพิธโทป์และถ้ำ Sửng Sốt ขณะที่พายุฝนฟ้าคะนองพัดเข้าปกคลุมอ่าว ทำให้เรือพลิกคว่ำ ผู้โดยสาร 48 คนและลูกเรือ 5 คนติดอยู่ภายในเรือโคลงเคลง ก่อนนำไปสู่ความสูญเสียกว่า 35 ศพ กลายเป็นเหตุการณ์โศกนาฏกรรมเรือใหญ่ที่สุดแห่งหนึ่งในรอบหลายปี …

บีบหัวใจ ด.ช.เล่านาทีสุดท้าย “พ่อใส่ชูชีพให้” ก่อนจมหายตามแม่-น้อง โศกนาฏกรรมเรือล่ม Read More

ย้อนอดีตช็อก! หมอเล่าเคส MRI ดูดร่าง จนท.โรงพยาบาล และสาเหตุไม่ใช่สร้อยโลหะ

ช็อกโลก “MRI ดูดร่าง” ญาติผู้ป่วยตาย หมออธิบายเกิดจากอะไร ช็อกซ้ำไม่ได้สยองเคสแรก แถมเป็นเจ้าหน้าที่ใน รพ.เองด้วย! จากกรณีอุบัติเหตุร้ายแรงเมื่อวันที่ 16 กรกฎาคม ที่ศูนย์ Nassau County Open MRI ในนครเวสต์เบอรี ลองไอส์แลนด์ สหรัฐอเมริกา เมื่อชายวัย 61 ปี ถูกสนามแม่เหล็กแรงสูงของเครื่องตรวจคลื่นแม่เหล็กไฟฟ้า (MRI) ดูดเข้าไปอย่างรุนแรง และสงผลให้ได้รับบาดเจ็บสาหัส ก่อนเสียชีวิตในวันถัดมา จากรายงานระบุว่า ขณะรออยู่นอกห้องตรวจ ชายรายนี้ได้ยินเสียงภรรยาแสดงความเจ็บปวด จึงรีบวิ่งเข้าไปโดยไม่ทันถอดสร้อยโลหะที่สวมอยู่ แม้จะมีคำเตือนห้ามบุคคลที่ไม่ได้รับอนุญาตเข้าห้อง MRI ก็ตาม …

ย้อนอดีตช็อก! หมอเล่าเคส MRI ดูดร่าง จนท.โรงพยาบาล และสาเหตุไม่ใช่สร้อยโลหะ Read More

สาวจีนไปห้างฯ โจรดักแทง 22 แผล รอดตายอัศจรรย์ หมออึ้ง “ศัลยกรรม” ช่วยชีวิตของแท้!!!

หญิงชาวจีนระทึก ถูกโจรดักลานจอดรถห้างฯ กระหน่ำแทง 22 แผล แต่รอดตายอย่างน่าอัศจรรย์ เพราะ “ซิลิโคนเสริมหน้าอก” ช่วยป้องกันไม่ให้เสียชีวิต ตามรายงานระบุว่า เหตุการณ์ดังกล่าวเกิดขึ้นเมื่อวันที่ 22 พฤษภาคม 2025 ที่ห้างสรรพสินค้าในเมืองหางโจว มณฑลเจ้อเจียง ประเทศจีน เหยื่อซึ่งเป็นหญิงอายุ 30 ปี นามสกุลว่า “หม่า” ถูกซุ่มโจมตีขณะขึ้นรถ หม่าเล่าว่า คนร้ายพุ่งเข้าไปที่เบาะหน้ารถและขู่ด้วยมีด แม้ว่าเธอจะร้องขอความช่วยเหลือ แต่ก็ไม่มีใครตอบรับ คนร้ายสั่งให้จ่ายค่าจอดรถก่อนจะบังคับให้เธอขับรถออกจากห้างสรรพสินค้า และเข้าไปในเขตที่อยู่ติดกัน จากนั้นเขาก็ขู่ต่อไป …

สาวจีนไปห้างฯ โจรดักแทง 22 แผล รอดตายอัศจรรย์ หมออึ้ง “ศัลยกรรม” ช่วยชีวิตของแท้!!! Read More

จัดอันดับความปัง ตามปีนักษัตร รายสัปดาห์วันที่ 20-26 ก.ค. 68 โดย อ.นำ เสขบุคคล

ดูสัปดาห์นี้ เตรียมตัวรับความปัง (20-26 ก.ค. 68) ชะตาของแต่ละปีนักษัตรเป็นไปในทิศทางใดบ้าง? อ.นำ เสขบุคคล ได้จัดอันดับความปังของแต่ละปีนักษัตรแบบเจาะลึก ปีนักษัตรไหนจะเฮงจะปังสุด เตรียมตัวเช็กดวงชะตาได้เลย ได้แก่ ท่านที่เกิดปีชวดปีมะโรง ปีวอก และปีจอ ปีชวด ท่านจะประสบความสำเร็จ เกี่ยวกับทางด้านการเงิน จะมีเงินเข้ามาก้อนหนึ่ง ทำให้คุณมีความราบรื่นคล่องตัวหรืออาจจะมีโชคมีลาภ มีสิ่งศักดิ์สิทธิ์ช่วยคุณกำลังจะโชคดี หมั่นสวดมนต์ไหว้พระหรือทำบุญจะยิ่งดวงดี ปีมะโรง ดวงของคุณจะมีความโดดเด่น ในการทำงาน ผลประโยชน์รายได้ต่างๆก็จะดีการเงินก็จะดีคู่ครองคนรักก็จะเอาอกเอาใจหรือดูแลคุณมากขึ้นมีสิ่งที่ดีๆเกิดขึ้นในชีวิตหลายอย่าง ปีวอก ในช่วงนี้คุณมีโอกาสที่ดี จะมีหน้าที่การงานที่ดีขึ้น มีคนให้เกียรติ มีคนชักชวนไปให้เกิดผลประโยชน์รายได้และคุณกำลังจะมีโชคจากต่างแดนจากคู่ครองจากคนรัก การงานก็ดีการเงินก็จะดีด้วย …

จัดอันดับความปัง ตามปีนักษัตร รายสัปดาห์วันที่ 20-26 ก.ค. 68 โดย อ.นำ เสขบุคคล Read More

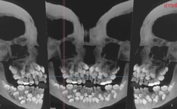
หมออึ้ง เด็กบราซิลวัย 11 มีฟันถึง 81 ซี่ในปาก ชี้ฟันส่วนเกินฝังลึกอยู่ในเหงือก

เด็กบราซิลวัย 11 ปี มาถอนฟันน้ำนม ทันตแพทย์อึ้ง ภาพเอกซเรย์พบ มีฟันถึง 81 ซี่ในปาก ชี้ฟันส่วนเกินฝังลึกอยู่ในเหงือก สำนักข่าวต่างประเทศ รายงาน กรณีทางการแพทย์เกิดขึ้นที่บราซิล เด็กหญิงวัย 11 ปีในมาพบทันตแพทย์เพื่อถอนรากฟันน้ำนมเท่านั้น แต่ผลการเอกซเรย์กลับพบว่าในปากของเธอมีฟันรวมทั้งหมด 81 ซี่ ซึ่งรวมถึงฟันส่วนเกิน 31 ซี่ ต่อมากรณีหายากนี้ได้รับการตีพิมพ์ในวารสารทางการแพทย์และกลายเป็นประเด็นร้อน เด็กหญิงคนหนึ่งอายุ 11 ปี 8 เดือนในเมืองมีนัสเชไรส์ ประเทศบราซิล ได้เข้ารับการตรวจสุขภาพช่องปากที่คลินิกทันตกรรม …

หมออึ้ง เด็กบราซิลวัย 11 มีฟันถึง 81 ซี่ในปาก ชี้ฟันส่วนเกินฝังลึกอยู่ในเหงือก Read More

ดูดวงวันนี้ “หมอลักษณ์” ทักแรง 2 ราศีต่อไปนี้ ชีวิตพลิกฟื้น เหมือนเกิดใหม่ โอกาสใหม่นำไปสู่ความสำเร็จชัดเจน

ดูดวงวันนี้ ดูดวงรายวัน ดูดวง  ดูดวงเดือนกรกฎาคม เช็กดวงวันนี้ “หมอลักษณ์ ราชสีห์ ฟันธง” หมอดู นักพยากรณ์ชื่อดัง ผู้มีความเชี่ยวชาญด้านโหราศาสตร์ ดวงดาว ดูดวง ดูดวงโชคลาภ ดูดวงการเงิน ทำนายดวง ดูดวงการงาน ดูดวงความรัก ดูดวงสุขภาพ ดูดวงธุรกิจ ดูดวงชะตาราศี ดูดวงวันนี้ ดูดวงรายวัน ดูดวง  ดูดวงเดือนกรกฎาคม เช็กดวงวันนี้ “หมอลักษณ์ ราชสีห์ ฟันธง” ทักแรงราศีต่อไปนี้ ในช่วงนี้ ชีวิตพลิกฟื้น เหมือนเกิดใหม่ ราศีกันย์ …

ดูดวงวันนี้ “หมอลักษณ์” ทักแรง 2 ราศีต่อไปนี้ ชีวิตพลิกฟื้น เหมือนเกิดใหม่ โอกาสใหม่นำไปสู่ความสำเร็จชัดเจน Read More

สิ้นใจแล้ว “เจ้าชายนิทรา” แห่งราชวงศ์ซาอุฯ สิริอายุ 36 ปี เปิดข้อความสุดอาลัยจากพระบิดา

“เจ้าชายนิทรา” แห่งราชวงศ์ซาอุฯ สิ้นพระชนม์ในวัย 36 ปี หลังอยู่ในภาวะโคม่ายาวนานกว่า 20 ปี จากอุบัติเหตุรถยนต์ในลอนดอน เจ้าชายอัลวาลีด บิน คอลิด บิน ตาลาล อัล ซาอูด (Prince Al-Waleed bin Khaled bin Talal Al Saud) พระโอรสแห่งราชวงศ์ซาอุดีอาระเบีย ซึ่งอยู่ในภาวะโคม่ายาวนานถึง 20 ปี ได้สิ้นพระชนม์แล้วในวัย 36 ปี …

สิ้นใจแล้ว “เจ้าชายนิทรา” แห่งราชวงศ์ซาอุฯ สิริอายุ 36 ปี เปิดข้อความสุดอาลัยจากพระบิดา Read More

แค่ดูมือบอกถึงตับ! หากเห็นสัญญาณ 2 อย่างนี้ที่ “ปลายนิ้ว” ควรพบแพทย์ตั้งแต่เนิ่นๆ

สังเกตได้จาก “มือ” ว่าตับคุณยังแข็งแรงอยู่ไหม? พบ 2 สัญญาณที่ปลายนิ้ว รีบพบแพทย์ก่อนสายเกินไป หลายคนมักเข้าใจว่าปัญหาตับจะแสดงออกผ่านอาการชัดเจน เช่น เหนื่อยง่าย ตัวเหลือง ตาเหลือง แต่ในความเป็นจริง ตับที่กำลังป่วยอาจส่งสัญญาณเงียบ ๆ ผ่าน ปลายนิ้วและเล็บมือ ซึ่งคนส่วนใหญ่มักมองข้าม ข้อมูลจากเว็บไซต์สุขภาพต่างประเทศ Healthy Truck ระบุว่า “เล็บมือ” สามารถสะท้อนสุขภาพของตับได้อย่างคาดไม่ถึง โดยเฉพาะในผู้ที่มีภาวะไขมันพอกตับชนิดไม่ดื่มแอลกอฮอล์ (NAFLD) ซึ่งเป็นหนึ่งในโรคตับเรื้อรังที่กำลังพบบ่อยที่สุดในยุคนี้ 2 สัญญาณที่ปลายนิ้ว…อาจสะท้อนปัญหาตับ เล็บมือโค้งงอลงผิดปกติ  สังเกตง่ายๆ คือปลายนิ้วจะเริ่มป่องออก มองจากด้านข้างจะเห็นว่าเล็บโค้งงอลงคล้ายช้อน ซึ่งต่างจากเล็บปกติที่ควรเรียบและขนานกับนิ้วมือ อาการนี้อาจเกิดจากการที่เลือดและออกซิเจนไปเลี้ยงปลายนิ้วน้อยลง …

แค่ดูมือบอกถึงตับ! หากเห็นสัญญาณ 2 อย่างนี้ที่ “ปลายนิ้ว” ควรพบแพทย์ตั้งแต่เนิ่นๆ Read More